2025年深秋的一個清晨,82歲的馬奶奶(化名)因持續胸悶氣短被家人送至醫院心內科。心臟超聲檢查顯示,她的左心房內有一個直徑近5厘米的腫瘤,隨心跳規律擺動,如同一個隨時可能破裂的“不定時炸彈”。更危急的是,冠脈造影進一步揭示其冠狀動脈多支血管嚴重狹窄,左前降支狹窄達95%,回旋支中段完全閉塞,右冠狀動脈彌漫性病變—兩種致命性心臟疾病的疊加,讓這位高齡患者的生命岌岌可危。
“腫瘤質地極脆,脫落可能導致腦梗或肺栓塞;而冠脈狹窄隨時可能引發急性心梗。”心內科團隊立即啟動多學科會診,心臟外科專家在評估后指出,傳統雜交手術無法同時解除雙重風險,一場高難度的開胸聯合手術成為唯一選擇。
術前超聲
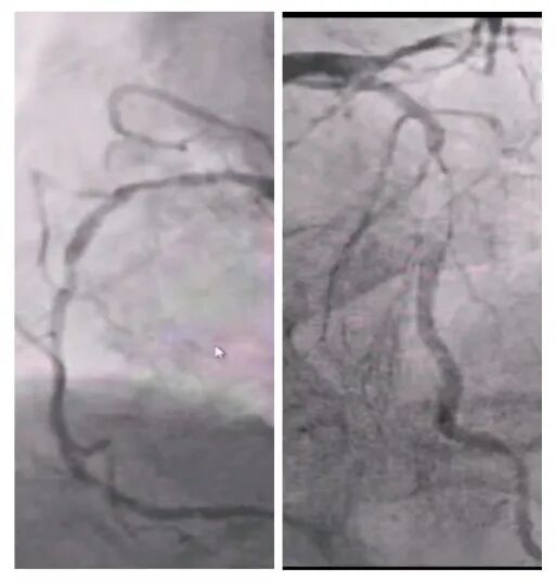
術前冠脈造影
跨越三重難關的術前準備
面對82歲高齡、器官功能退化、雙重心臟疾患的三重挑戰,醫療團隊展開了周密的術前部署。麻醉科針對患者肝腎功能減退的特點,設計了“階梯式麻醉方案”,將血管活性藥物劑量精確到0.1微克/公斤;體外循環團隊反復演練心肌保護液灌注流程,確保心臟停跳期間全身器官氧供;重癥監護團隊提前調試好床旁超聲和血液凈化設備,制定了包含23項監測指標的術后護理計劃。
“老年患者心臟停跳時間每延長1分鐘,術后并發癥風險增加7%。”手術團隊在術前討論中達成共識,必須將轉機時間控制在150分鐘內,同時確保腫瘤完整切除和血管精準吻合。
四小時手術臺上的生命接力
手術當日8時30分,麻醉誘導平穩完成。在經食道超聲實時監測下,體外循環管路順利建立,心臟在低溫停跳下顯露術野。主刀醫生采用“無接觸技術”沿瘤體蒂部完整剝離腫瘤組織,避免碎片脫落;隨后選取左側乳內動脈吻合前降支,大隱靜脈序貫吻合鈍緣支與后降支,完成三支血管重建。125分鐘的轉機時間里,麻醉師全程維持平均動脈壓在65-75mmHg,體外循環師精準調控流量至2.4L/min/m2。
當除顫器發出“嘀嘀”聲后,心臟重新恢復自主節律,監護儀上規律的波形讓手術室團隊松了口氣。術后第三天,馬奶奶已能自主進食并清晰對話,轉出ICU時,她握著護士的手輕聲說:“沒想到還能看見太陽升起。”
術后超聲
病理診斷
醫學協作創造生命奇跡
術后病理顯示,患者左房腫瘤為良性黏液瘤,完整切除后無需后續治療。經過10天的康復治療,老人順利出院。這一案例中,多學科團隊通過術前風險分層、術中精密協作、術后個體化護理,為高齡復雜心臟疾病患者的救治積累了臨床經驗
“老年心臟手術的成功,關鍵在于團隊對風險的預判和應對。”參與手術的心臟外科專家表示,隨著人口老齡化加劇,類似病例將逐年增多,此次多學科協作模式為破解高齡患者手術禁區提供了實踐參考。
(本文根據真實醫療案例改編,患者信息已獲授權保護)


