“患者運動時突發意識喪失,嘆氣樣呼吸......”近日,一通緊急求救電話打破了延安大學咸陽醫院急診科的平靜。一場驚心動魄的生命接力,就此展開。
爭分奪秒急診團隊打響第一槍
接到求救電話后,我院急診醫學科醫護人員火速出診,救護車拉響警報,以最快速度抵達現場。此時,56歲的羅先生(化名)已意識喪失,呈嘆氣樣呼吸,急救人員迅速判斷:心臟驟停!生命危在旦夕。急救人員立即展開心肺復蘇,心電監護儀上跳動的波形讓人心頭一緊——心室顫動,這是一種足以致命、隨時可能奪走患者生命的惡性心律失常。
“準備除顫,非同步直流電除顫200J一次!”隨著指令下達,電流穿過胸膛。第一次除顫后,心電波形短暫恢復,隨即再次陷入紊亂?!暗诙纬?,200J,繼續!”兩次電擊,兩次與死神的正面交鋒。急救人員在兩次除顫間歇持續進行高質量心肺復蘇,約6分鐘后,羅先生意識逐漸轉清,生命體征趨于平穩。第一棒,急診科團隊跑贏了!
作為醫院的前沿陣地,延安大學咸陽醫院急診醫學科擁有一支訓練有素、反應迅速的急救隊伍,配備先進的院前急救設備和遠程傳輸系統,能夠在第一時間對心腦血管急癥實施精準干預。正是這支“急先鋒”隊伍,為后續救治贏得了寶貴的時間窗口。
無縫銜接胸痛中心綠色通道護航
救護車疾馳而歸,車內急救人員一邊密切監護生命體征,一邊將患者信息同步傳輸至醫院胸痛中心?;颊叩诌_我院時,急診搶救室內早已嚴陣以待。心電圖、心肌損傷標志物檢測迅速完成,結果提示:急性非ST段抬高型心肌梗死。這是一場心臟的“隱形風暴”——心肌持續缺血,隨時可能再次誘發室顫,將患者再次推向死亡邊緣。
對于急性心?;颊?,時間就是心肌,時間就是生命。胸痛中心團隊立即啟動綠色通道,術前給藥一氣呵成:抗血小板藥物負荷劑量口服、抗凝藥物靜脈注射......每一個環節都精準高效。
精準介入CCU團隊打響心臟保衛戰
綠色通道瞬間打通,患者直接送入介入導管室。CCU團隊成員早已在導管室內嚴陣以待,急診手術即刻展開。與此同時,床旁的術前評估也迅速完成:APACHE II評分10分,GRACE評分231分(高危)——這意味著患者住院期間死亡率風險極高。血氧飽和度85%、合并低鉀血癥......每一項數據都在提醒醫護團隊:病情依然兇險,戰斗尚未結束,監護不容松懈。
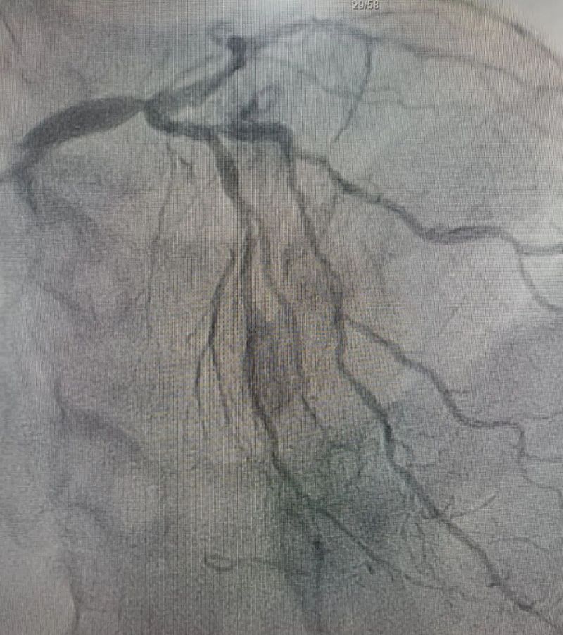
術中造影顯示,左主干至前降支近段重度狹窄——這正是導致心臟缺血、誘發室顫的“罪魁禍首”。主動脈球囊反搏植入、球囊擴張、支架植入......介入團隊精準操作,一氣呵成。堵塞的血管順利開通,血流重新涌動,這顆一度瀕臨停跳的心臟終于重獲生機。
冠狀動脈造影圖
術前 (左主干至前降支近段重度狹窄)
術后(左主干至前降支近段原狹窄消失)
然而,手術成功只是第一步。術后,患者被安全送回CCU,CCU團隊一刻不敢松懈:抗凝、營養心肌、保護胃黏膜、控制血壓......每一項治療都精心調整,每一個指標都嚴密監測。醫護人員輪班守護,24小時不離視線,嚴防病情再次反復。從急診手術到術后監護,CCU團隊既是沖鋒在前的“突擊隊”,又是默默堅守的“守門人”。
生命至上每一次救治都是全力以赴
從運動場上的突發倒地,到院前急救的兩次電擊除顫;從胸痛中心的快速診斷,到CCU團隊的精準介入;從手術臺上的驚心動魄,到監護室里的日夜守護——這場與死神的賽跑,延安大學咸陽醫院贏了。贏在急診醫學科的快速反應,胸痛中心的無縫銜接,多學科的緊密協作,綠色通道的暢通高效,更贏在每一位醫護人員對生命的敬畏與堅守。
延安大學咸陽醫院胸痛中心是國家標準化胸痛中心,陜西省咸陽市首家通過國家標準版認證的胸痛中心,建立了覆蓋院前急救、急診搶救、介入治療的全鏈條快速響應機制。從患者進入醫院到血管成功開通,每一次救治都跑贏了國家指南規定的“黃金時間”。環環相扣的流程、多學科協作的模式,讓無數急性心梗患者重獲生機。
56歲的羅先生,心臟驟停突如其來。危急關頭,院前急救、胸痛中心、CCU團隊無縫銜接,每一個環節都沒有耽誤,每一條決策都精準果斷。這樣的救治,每天都在延安大學咸陽醫院溫暖上演。如今,羅先生已康復良好,即將出院。守在監護室外多日的家屬緊緊握住醫護人員的手,連聲道謝:“是你們給了他第二次生命,也救了我們這個家!”我們更加堅信:從羅先生的重獲新生,到無數個家庭的團圓安康——每一次成功的救治,都是對生命最好的守護。
作為始終把“大醫精誠,仁愛中國”作為核心文化的三級甲等綜合醫院,我院錨定“醫院領導要把職工的利益放在第一位,全院職工要把患者的需求放在第一位”的服務宗旨,向著“建設百年名院、打造醫界豐碑”的愿景堅定邁進,朝著建設全國知名、省內領先的三級甲等大學附屬醫院的目標穩步前行。從運動場上的心臟驟停,到監護室里的平穩呼吸,再到一個個家庭重燃的希望——以優質醫療服務守護人民健康,我們一直在路上。
編輯:成淑平
審核:張玉河


